2024年5月05日
70代の女性の方です。
当院受診の半年前ごろから上腹部の不快感を感じていました。
また3か月前から体重が減少していました(3か月間で約8キロ)。
他院を受診し、血液検査をしたところ、糖尿病の悪化(HbA1c 10.2、1年前のHbA1cは6.1)と肝臓データの異常を指摘されましたが、担当医からは緊急性はないと言われました。
しかし心配になり、当院初診となりました。
この方の経過を要約すると、
「上腹部の症状」+「体重減少」+「糖尿病の悪化」+「肝臓データ異常」
膵がんと上腹部痛 → https://miyuki-cl.com/column/膵がんの症状②:上腹部痛/
膵がんと糖尿病 → https://miyuki-cl.com/column/第36回-多摩糖尿病チーム医療研究会にて『膵がん/
膵がんと肝データ異常 → https://miyuki-cl.com/column/膵がんの症状③:閉塞性黄疸/
これらのキーワードから、「胆管閉塞をきたした膵頭部がん」、が頭に浮かび、初診当日、画像検査クリニックにて腹部MRI検査を受けていただきました。
MRIでは、膵頭部に35mmの腫瘍を認め、それにより胆管と膵管がつまり、腫瘍より上流の胆管と膵管が太くなっています。
<腹部MRI>

正常の胆管と膵管像と比べると、その異常は一目瞭然です。

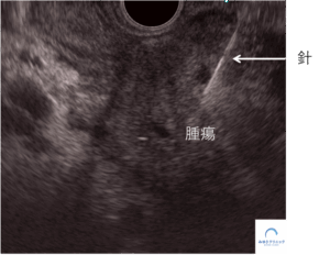
MRIの2日後には、超音波内視鏡検査を行いました。
超音波内視鏡検査でも、MRIと同様に膵頭部に腫瘍を認め、胆管と膵管は閉塞しています。
<超音波内視鏡>

T:腫瘍、MPD:主膵管、CBD:総胆管
腫瘍の確定診断のために、超音波内視鏡ガイド下穿刺診をおこない、大学病院を受診していただく手配をしました(ここまでで、初診からわずか2日間です)。
<超音波内視鏡ガイド下穿刺診>

後日、細胞診で膵がんの診断がつきました。
患者さんにとっては残念な結果でしたが、すみやかに診断し、次のステップ(治療)にうつることができたと思います。
当院は大学病院や総合病院とちがって、常勤医1名と非常勤医1名と最少のマンパワーしかありませんが、逆に小回りがきくという利点があります。
今後も患者さんとよく話し合いながら、正確で安全、そして速やかな内視鏡検査を行うようスタッフ一同、努めてまいります。
注:「今月の1例」は、今月に内視鏡を行なった症例とは限りません。過去の症例も含まれます。