2025年9月14日
はじめに
膵がんは、消化器がんの中でも最も予後が厳しい疾患の一つです。国立がん研究センターの2023年報告によれば、膵がんの5年相対生存率はわずか8.5%とされており、他の消化器がんと比べても著しく低い数値です。

この背景には、「早期発見が極めて困難」という根本的な問題があります。膵臓は体の奥深くに位置し、初期症状に乏しいため、多くの場合、症状が現れた時点では既に進行した状態となっています。
しかし近年、医療技術の進歩により状況は変わりつつあります。超音波内視鏡(EUS)をはじめとする高精度な画像診断技術の発達により、膵臓のわずかな変化も捉えられるようになりました。特に、膵嚢胞などの前癌病変を定期的に観察することで、従来では発見困難だった早期膵がんの診断が可能になってきています。
今回ご紹介するのは、膵嚢胞の経過観察中に発見されたステージ0膵がん(上皮内癌)という、極めて貴重な症例です。
症例
80代女性の方です。
9年前から他院で膵嚢胞の定期経過観察を受けておられました。最近の画像検査(MRI・CT)で膵嚢胞の増大と膵管拡張が確認されたため、超音波内視鏡(EUS)による精密検査を目的として当院にご紹介いただきました。
前医で行った腹部MRIでは、膵体部に嚢胞を認め、その近傍の膵管は細くなっています(狭窄)。膵管狭窄部よりも尾側の膵管は数珠状に拡張しています。
腹部MRI

(平賀診療所 秋山 新二郎先生ご提供)
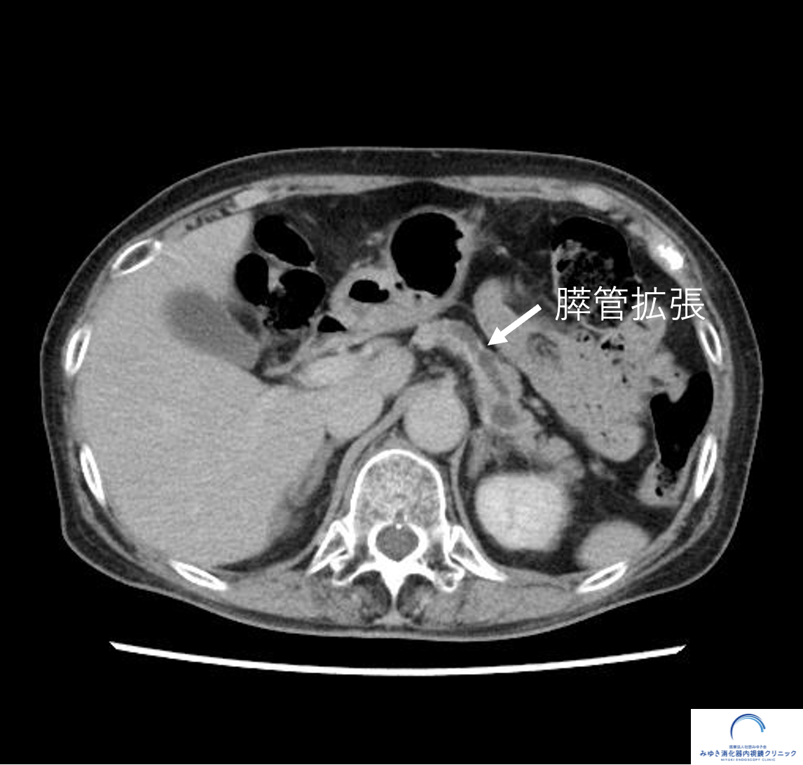
造影腹部CTでも膵嚢胞と膵管拡張を認めますが、膵管が細くなっている部位の膵臓自体が痩せているように見えます(萎縮)。
腹部CT

(平賀診療所 秋山 新二郎先生ご提供)
なお腹部MRIおよびCTでは、膵嚢胞以外に明らかな膵腫瘤を認めませんでした。
当院で行った超音波内視鏡検査では、腹部MRI・CTと同様に膵体部に嚢胞を認め、その近くの膵管が狭窄しています。狭窄部より尾側の膵管は拡張しています。
狭窄部付近を詳細に観察したところ、約5mm大の低エコー領域を発見しました。この領域の境界が比較的明瞭であることから、膵腫瘍の可能性が示唆されました。
超音波内視鏡

後日、膵腫瘍疑いの病変に対して超音波内視鏡下せん針吸引法を行いましたが、結果は陰性(悪性所見なし)でした。
しかし、膵管狭窄部が悪性である可能性を完全に否定できないため、連続膵液細胞診(SPACE)を患者さんに提案しました。しかし、ご本人が「手術による確定診断と根治治療を希望」との強いご意志を示されました。そのため、日本医科大学多摩永山病院外科にて外科的切除をお願いいたしました。
切除標本の病理組織学的検査により、膵上皮内がん(CIS:carcinoma in situ)と診断されました。これは膵がんのステージ0に相当し、極めて早期の段階での発見となりました。
膵上皮内がん
膵がんの約90%は、膵臓の中を通っている管(膵管)の内側をおおう上皮細胞から発生します。病気が進むと、がん細胞が膵管の外に広がっていき(これを「浸潤」といいます)、膵臓の中で腫瘍というしこりをつくります。これが一般的にいう「膵がん(浸潤がん)」です。
一方で、「膵上皮内がん」 とは、がん細胞が膵管の内側にとどまっていて、まだ外に広がっていない、ごく早い段階の膵がんを指します。いわば膵がんの“前段階”や“ステージ0”と考えることができ、適切な治療を行えば根治が期待できる状態です。日本膵臓学会での膵がん登録によると、ステージ0の膵がんの5年生存率は85.8%と高率でした。しかし、症状がほとんどないため、発見が困難という特徴があります。

膵上皮内がんに関するQ&A
Q・膵上皮内がんの症状は?
A・ほとんど自覚症状がありません。
膵上皮内がんは、膵がんの一番初期の段階です。がん細胞は膵管の内側にとどまっていて、まだ外へ広がっていません(上図ご参考ください)。
この段階では、ほとんどの場合、自覚症状は出ません。そのため、自分で気づくことはとても難しいのが特徴です。
膵がんが進行すると、腹痛や背部痛、黄疸(皮膚や白目が黄色くなる)、急激な体重減少、糖尿病の悪化などの症状が出てきますが、膵上皮内がんではこうした症状はまだ見られません。
つまり、膵上皮内がんは「症状がないうちに見つけられるかどうか」が大切になります。定期的な腹部超音波やCT、MRIなどの画像検査で膵臓の微細な変化を発見し、必要に応じて精密検査を行うことで、治癒可能な段階での発見につながります。
Q・膵上皮内がんの診断のきっかけは?
A・健診などでの画像検査、糖尿病の急な悪化や新規発症、膵嚢胞の経過観察などです
前述したように、膵上皮内がんは自覚症状がほとんどないため、多くの場合は偶然発見されます。最も多い発見契機は、健診や人間ドックでの腹部超音波検査で膵臓に異常を認めた場合です。また、他の病気の検査中に撮影されたCTやMRIで膵臓の変化が見つかったり、血液検査で膵酵素(アミラーゼ、リパーゼなど)や膵腫瘍マーカー(CA19-9など)の異常値が認められたりすることもあります。このほか、糖尿病の急激な悪化や新規発症を契機に発見される場合もあります。
さらに、今回ご紹介した症例のように、膵嚢胞の経過観察中に膵上皮内がんが診断されることもあります。この症例では、かかりつけ医の先生が膵臓の微細な変化に気づき、精密検査が必要とご判断され、超音波内視鏡検査を目的に当院へご紹介くださいました。膵臓専門医でないと見逃してしまう可能性のある微細な変化を発見されたその先生の臨床能力の高さに、深く敬服いたしました。術後の患者さんには、『今回、極早期の膵がんを発見できたのは、ご紹介いただいた先生のおかげです』とお伝えしました。
Q・膵上皮内がんの診断法は?
A・画像検査および細胞診です。
繰り返し述べているように、膵上皮内がんは、まだ腫瘍としての塊(かたまり)をつくっていないごく早期のがんです。
そのためCTやMRIなどの画像検査でがんそのものを直接うつし出すことはできません。
ではどのようにみつけるのでしょうか?
ポイントは、がんそのものではなく「膵臓の変化」に注目することです。
主な変化のサイン
膵管狭窄(きょうさく)(膵管が細くなる)
がんが膵管の内側にできると、その部分がせまくなります。これを「狭窄(きょうさく)」といいます。
膵管拡張
狭くなった部分より奥側(膵臓の尾部方向)では、膵液の流れが悪くなるため膵管が拡張し、太く見えることがあります。
膵臓萎縮(いしゅく)(膵臓がやせること)
膵管の狭窄部の周りの膵臓が部分的にやせる(萎縮)ことがあります。近年、この所見が膵上皮内がんを強く疑う所見として注目されています。
どの検査で見つかるのか?
これらの変化は、まず腹部超音波検査で発見されることが多く、続いてCTやMRIでより詳しく評価します。特に膵管の拡張は、体に負担の少ない腹部超音波でも比較的見つけやすく、早期発見の手がかりとなります。
さらに、異常が確認された場合には 超音波内視鏡検査(EUS) を行います。EUSはCTやMRIでは見えないような小さな異常をとらえることが可能で、とくに膵管狭窄部の周囲を重点的に観察します。
しかし膵上皮内がんは「腫瘍のかたまり」をつくらないため、EUSでもがんそのものを直接とらえるのは困難です。ただし、膵管狭窄部の周囲に黒っぽく映る「低エコー領域」 が見える場合があります。これはがんそのものではなく、がんに伴って生じる 炎症や線維化(硬くなる変化) を反映していると考えられています。これは膵上皮内がんをより強く疑う所見として注目されています。
このように膵上皮内がんの画像診断は、がん自体を直接見るのではなく、がんによって起こる膵臓の『変化のサイン』を読み取ることが重要なのです。
膵液細胞診
膵液細胞診については別コラムで解説します(https://miyuki-cl.com/column/膵液細胞診とは?膵上皮内がんの早期発見に期待/)。
Q・膵上皮内がんの治療は?
A・根治を目指すなら手術が必要です。
膵上皮内がん(ステージ0膵がん)は、まだ周囲に広がっていないごく早期のがんですが、唯一の根治的な治療法は手術です。
手術の方法:
がんが発生部位によって手術法が異なります。
・膵頭部にある場合:膵頭十二指腸切除術
・膵体尾部にある場合:膵体尾部切除術
・膵臓の中央部にある場合:膵中央切除術(正常な膵臓をできるだけ残すことを目的とした術式)
手術技術の進歩:
近年では、施設によって腹腔鏡手術やロボット支援下手術が導入され、体への負担を減らしながら、安全性と精度を高めた手術が行われています。
これにより、患者さんの回復が早まり、入院期間の短縮や術後の生活の質(QOL)向上が期待できます。
<参考文献>
がん情報サービス ganjoho.jp
日本膵臓学会、膵癌診療ガイドライン改訂委員会編:膵癌診療ガイドライン.金原出版,東京,2022.
日本膵臓学会編:膵癌取扱い規約第 7 版.金原出版,東京,2016.
Egawa S, et al. Pancreas. 2012;41:985-92.
Kanno A, et al:Pancreatology.2018;18:61-67.
羽場 真、他.消化器内視鏡 2024;36:721-25.
注:「今月の1例」は、今月に内視鏡を行なった症例とは限りません。過去の症例も含まれます。