2026年2月05日
はじめに
近年、人間ドックで胃カメラ(内視鏡検査)を取り入れる施設が増え、また各自治体でも胃カメラによる胃がん検診が行われるようになり、胃カメラ検査を受ける機会は確実に増えてきています。
そのような中で、「自分の胃が正常なのかどうか」を正しく把握することは、とても重要なポイントです。
なぜ胃の状態を知ることが大切なのか。本コラムでは、当院で実際に経験した症例をもとに、分かりやすく解説していきます。
症例
30代男性の方です。
胃痛の精査目的に他院で胃カメラを受けたところ、慢性胃炎と診断されました。しかしその後、同じ医療機関で再度行った胃カメラでは、「慢性胃炎はありません」と説明を受け、診断が異なったことから不安になり、当院を受診されました。
当院で行った胃カメラ検査では、正常な胃粘膜は全体的にきれいで、正常な胃粘膜と考えられる所見でした。胃体部にはRAC(ラック)が明瞭に確認でき、ピロリ菌感染を疑う所見は認められませんでした。

さらに、ピロリ菌に感染していない胃に発生することが多い胃底腺ポリープも確認されました。

以上の所見から、慢性胃炎のない「正常な胃」と判断しました。
検査後、患者さんには、「ピロリ菌の感染していないきれいな胃です。胃がんのリスクも低いと考えられますよ」とお伝えしたところ、とても安心されたご様子でした。
正常な胃とは?
正常な胃とは、胃カメラ(内視鏡検査)で見たときに、胃の粘膜に炎症や萎縮(粘膜が薄くなる変化)が認められない状態を指します。日本人において、胃の粘膜に炎症を起こす原因の大部分はヘリコバクター・ピロリ菌感染です。その他の原因として、自己免疫が関与するものや薬剤による胃炎も存在しますが、これらは比較的稀です。すなわち、ピロリ菌に感染していない(感染歴がない)胃の多くが、正常な胃と言えます。
👉 ピロリ菌に感染していない胃の多くは「正常な胃」と考えられます。
「自分の胃が正常かどうか」を知ることが、将来の胃がん予防や安心につながる重要なポイントになっています。
正常な胃の内視鏡像
近年、専門家の間でも「正常な胃」の考え方は少しずつ変わってきています。胃に何らかの所見が見つかった場合でも、その背景となる胃粘膜がピロリ菌に感染しておらず、きれいな状態であれば「正常」の範囲と考えられることがあります。
その代表例が、胃底腺ポリープです。
「胃にポリープがある」と聞くと、不安に感じる方も多いと思います。しかし、胃底腺ポリープはがん化の危険性はほとんどない良性のポリープであり、過度に心配する必要はありません。
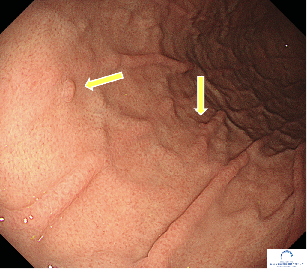
以下は胃カメラで観察される正常な胃の所見です。
① つやつやした粘膜
胃カメラで見える正常な胃の粘膜は、光沢があり、ツヤがあります。また胃のひだも細く真っ直ぐに伸びています。

② RAC(ラック)
胃体部から胃角部には多数のヒトデ様の発赤点が規則正しく並んでいるのが確認できます。これは「RAC(ラック)」と呼ばれるもので、その正体は胃の粘膜内の血管です。このRACの有無を判定することが非常に大事で、RACが確認できれは95%以上の確率でピロリ菌がいないと判定することができます。

③ 稜線状(りょうせんじょう)発赤
稜線状発赤とは、胃の粘膜に見られる帯状の赤い線で、胃の長軸方向に沿って、数本が平行に並んで見えるのが特徴です。以前は「表層性胃炎」と呼ばれていた所見ですが、発赤が軽度で、ただれ(びらん)や強い炎症を伴っていない場合には、病的な意味はなく正常範囲の所見と考えられています。

④ 胃底腺ポリープ
前述の胃底腺ポリープも正常な胃に見られます。RACが陽性で胃底腺ポリープが見つかった場合、その方の胃がんのリスクは低いと判断できます。そのため、胃底腺ポリープを「ハッピー(幸せの)ポリープ」と呼ぶ先生もいます。ただしピロリ菌の除菌後にも発生することがあります。

なぜ「正常な胃」を判定することが重要なのか?
日本人の胃がんの95%以上は、ヘリコバクター・ピロリ菌感染が関係しているとされています。ピロリ菌は多くの場合、乳幼児期に感染し、胃の中で炎症を引き起こします。感染していても自覚症状がないことがほとんどで、気づかないうちに炎症が長期間続き、慢性胃炎という状態になります。
この慢性胃炎が長く続くことにより、胃がんが発生しやすい環境が作られてしまいます。
つまり、
👉 胃カメラ検査で慢性胃炎があるかどうかを確認することで、将来の胃がんリスクを評価できることになります。
胃カメラで、炎症や萎縮が認められない「正常な胃」と診断された場合、その方の胃がんのリスクは非常に低いと考えられます(*ゼロではありませんが)。
その結果、「ピロリ菌に感染しておらず、胃がんのリスクが低い胃である」と分かることで、ご本人が安心して日常生活が送れることが大きなメリットです。
正常な胃に関するQ and A
Q. 正常な胃でも胃カメラ検査は必要ですか?
A. 必要な場合があります
ピロリ菌に感染しておらず、胃の粘膜がきれいな「正常な胃」の方は、胃がんのリスクが非常に低いことが分かっています。
しかし、
✔️ 年齢が50歳以上
✔️ 胃の不調(胃痛・胃もたれ・胸やけなど)がある
✔️ 健康診断のバリウム検査などで異常を指摘された
✔️ 血縁者に胃がんの方がいる
といった場合には、症状や状況に応じて胃カメラ検査を行うことが大切です。
また近年は、ピロリ菌に感染したことのない「正常な胃」から発生する胃がんや腫瘍が注目されています。
具体的には、未分化型胃がん、胃底腺型胃がん、ラズベリー様腺窩上皮型胃腫瘍などの比較的まれなタイプのがん・腫瘍です。
未分化型胃がんについてはこちら👉https://miyuki-cl.com/column/今月の1例:微小胃がん/
胃底腺胃がんについてはこちら👉https://miyuki-cl.com/column/今月の1例:胃底腺型胃がん/
ラズベリー様腺窩上皮型胃腫瘍についてはこちら👉https://miyuki-cl.com/column/今月の1例:胃底腺ポリープとラズベリー様腺窩上/)
これらは、ピロリ菌に関連して発生する通常の胃がんと比べて頻度は低く、過度に心配する必要はありません。
一方で、内視鏡医は、
「正常な胃だから大丈夫」と思い込むことなく、こうしたまれな病変の可能性も意識しながら、丁寧に観察を行なっています。
Q. ピロリ菌を除菌した後の胃は「正常な胃」になりますか?
A. 必ずしも完全に元に戻るわけではありません。
ピロリ菌の除菌によって、
✔️ 炎症の進行を止める
✔️ 胃がんのリスクを下げる
といった大きなメリットがありますが、すでに起こってしまった萎縮(粘膜のダメージ)は元に戻らないことも多いのが現実です。そのため、
◆ 除菌前に萎縮がほとんどなかった方 → 正常に近い胃
◆ 除菌前に萎縮が進んでいた方 → 定期的な胃カメラが必要
というように、胃の状態に応じたフォローが重要になります。
Q. 自分の胃が「正常かどうか」はどうやって分かりますか?
A. 胃カメラ(内視鏡検査)で直接、胃粘膜を確認することです。
血液検査やピロリ菌検査だけでは、
・すでに起きている萎縮の程度
・胃粘膜の細かな変化
までは正確に分かりません。
胃カメラ検査では、
・正常な胃か
・ピロリ菌感染の影響があるか
・将来的な胃がんリスクは高いか低いか
を総合的に判断することができます。
まとめ
胃カメラ検査では、「胃に異常があるかどうか」だけでなく、胃の粘膜がどのような状態かをきちんと確認することが大切です。
正常な胃と分かることで、「自分の胃は大丈夫なのだ」と安心でき、その後の検査の頻度やフォローの方法も、無理のない形で決めることができます。
院長からのメッセージ
胃の検査結果は、医師の言葉の伝え方ひとつで、不安にも安心にもなります。例えば胃カメラの後に、
「胃にポリープがありますね」
とだけ説明を受けて帰宅する場合と、
「胃にポリープはありますが、このタイプのポリープはピロリ菌に感染していない胃にみられることが多く、このポリープがあるとむしろ胃がんになりにくいと考えられています。どうぞご安心ください」
と説明を受ける場合とでは、感じ方は大きく違いますよね。
当院では、単に内視鏡検査を行うだけではなく、検査後も患者さんが不安なく日常生活を送れるような説明を大切にしています。
ご自身の検査結果について疑問や不安があれば、どうぞ遠慮なくご相談ください。
参考文献
春間 賢監修.胃炎の京都分類 改訂第3版.日本メディカルセンター.
平澤 俊明. Dr.平澤の上部消化管内視鏡診断セミナー下巻. 羊土社.
注:「今月の1例」は、今月に内視鏡を行なった症例とは限りません。過去の症例も含まれます。