胆のう結石は手術すべき?|みゆき消化器内視鏡クリニック|多摩市永山の消化器内科・内視鏡検査

〒206-0025東京都多摩市永山1丁目5 ベルブ永山211

042-372-4853

WEB予約 WEB問診 Instagram コラム

MRIと超音波内視鏡による膵がんドック

下層メインビジュアル

胆のう結石は手術すべき?

胆のう結石は手術すべき?|みゆき消化器内視鏡クリニック|多摩市永山の消化器内科・内視鏡検査

2025年10月11日

胆のう結石は手術が必要?無症状でも放置せず経過観察が重要です。手術を検討すべきサインや合併症リスクを専門医が解説。適切な対応の判断ポイントがわかります。

はじめに

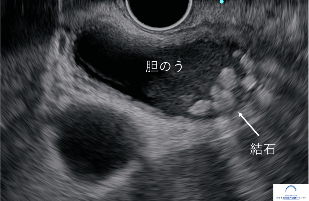
日本人の約10人に1人は、胆のうに結石があるといわれています。

人間ドックや健康診断の腹部エコー検査で「胆のう結石があります」と指摘され、驚いた経験のある方も多いのではないでしょうか。

胆のう結石は、肥満や生活習慣とも深く関係しており、近年は日本でも患者さんが増える傾向にあります。

胆のう結石について解説する模式図

当クリニックにも、
「胆石があるといわれたけれど、手術をした方がよいのでしょうか?」
というご相談がよく寄せられます。

胆のう結石は、症状がないからといってそのままでよいとは限らず、適切な経過観察と判断が大切です。

一方で、すべての方にすぐ手術が必要になるわけではありません。

ただし、胆石が原因で腹痛や炎症を起こしたり、胆のう炎、胆管炎、膵炎などの合併症につながったりすることもあります。

この記事では、胆のう結石で手術を検討する目安、経過観察でよい場合、注意すべき症状について、Q and A方式でわかりやすく解説します。

Q1:症状がなくても胆のう結石の手術を受けるべきですか?

A:症状がない胆のう結石は、原則としてすぐに手術が必要になることは多くありません。

胆のう結石(たんのうけっせき)が見つかっても、多くの方は症状がありません。

実際、無症状の胆のう結石のうち、1年間に症状が出るのはおよそ2〜4%程度とされています。

さらに、約3分の2の方は一生を通じて症状が出ないといわれています。

そのため、症状のない胆のう結石に対しては、予防的に手術を行う必要はないと考えられています。

ただし、すべてのケースで安心してよいわけではなく、状態によっては将来的なリスクを考慮して手術を検討することがあります。

⚠️ 症状がなくても手術を検討することがあるケース

  • ☑ 胆のう結石の大きさが3cm以上
  • ☑ 10mm以上の胆のうポリープがある
  • ☑ 胆のうの壁が厚くなっている(慢性胆のう炎など)
  • ☑ 胆のうの中が結石で満たされている(充満結石)

これらの状態では、胆のうがんの発生リスクが高くなることが知られています。

そのため、年齢や全身状態も含めて総合的に判断し、将来的なリスクを避ける目的で手術(胆のう摘出術)を検討する場合があります。

Q2:どんな症状が出れば手術を考えるべきですか?

A:胆のう結石は、症状が出た場合に手術を検討することが一般的です。

典型的な症状は、右の肋骨の下(右上腹部)やみぞおちの痛みです。

とくに脂っこい食事のあとに強い痛みが出ることが多く、「胆石発作」と呼ばれます。

胆石による腹痛や黄疸の症状イメージ

⚠️ 次のような症状がある場合は、早めの受診が必要です

これらの症状は、胆のう結石による炎症や合併症のサインである可能性があります。

  • ☑ 繰り返す右上腹部の痛みや背中の痛み
  • ☑ 発熱や吐き気を伴う(胆のう炎の可能性)
  • ☑ 尿の色が濃い、皮膚や白目が黄色くなる(黄疸:胆管閉塞の可能性)

これらの症状がある場合、胆のう結石が原因で、急性胆のう炎や胆管炎、膵炎を起こしている可能性があります。

状態によっては緊急入院や早期の手術が必要になることもあるため、症状を感じた場合は早めに医療機関を受診することが重要です。

Q3:胆のう結石があると胆のうがんになりやすいと聞きましたが?

A:胆のう結石と胆のうがんには関連はあるものの、胆石が直接の原因とは断定されていません。

たしかに、胆のうがんの患者さんの多くが胆のう結石を合併していることは知られています。

しかし、「胆のう結石がある人が胆のうがんになりやすいか」という点については、明確な因果関係を示す十分なエビデンスは現時点ではありません。

つまり、胆のう結石と胆のうがんの間には一定の関連はあるものの、胆石が直接がんの原因になるとまでは言い切れないのが現在の医学的な見解です。

そのため、胆のうがんの予防のみを目的として、無症状の胆のう結石に対して手術を行うことは一般的には推奨されていません。

ただし、胆のうがんのリスクが高いと判断される場合には、無症状であっても手術が検討されることがあります。

Q4:胆のうを残して石だけ取り出すことはできませんか?

A:一般的には、胆のうを残して石だけを取り除く治療は行われていません。

「できるだけ臓器を残したい」「胆のうを取らずに石だけ取れないのか」といったご質問をいただくことがあります。

そのお気持ちはとてもよく理解できますが、現在の標準治療では胆のうごと摘出する方法が選択されます。

主な理由

  • 胆石ができる原因は胆のう自体にあるため
    石だけを取り除いても再発する可能性が高く、根本的な解決になりません。
  • 腹腔鏡手術が安全で確立された治療法であるため
    小さな傷で行え、体への負担が少なく、回復も比較的早い治療です。

このような理由から、現在では胆のう摘出術が安全かつ確実な標準治療とされています。

Q5:胆のうを取っても生活に支障はありませんか?

A:胆のうを摘出しても、多くの場合、日常生活に大きな支障はありません。

胆のうは、肝臓で作られた胆汁を一時的にためて濃くし、食事のタイミングで腸へ送り出す役割を担っています。

しかし、胆石ができている胆のうは、すでに正常に機能していないことが多く、摘出しても影響は限定的です。

胆のうを取ると、胆汁は肝臓から直接腸へ流れ続けるようになります。

術後にみられることがある症状

  • 食後の軽い腹痛や張り感
  • 下痢や軟便(特に脂っこい食事のあと)

これらは「胆のう摘出後症候群」と呼ばれ、多くの場合は時間の経過とともに自然に改善します。

必要に応じて、食事内容の調整や整腸剤などでコントロールすることが可能です。

参考文献

日本消化器病学会(編):胆石症診療ガイドライン2021, 改訂版3版,

南江堂, 2021.

野口 大介、他. 臨床外科 2025;80:1177-83.

TOP