2025年10月11日
はじめに
日本人の約10人に1人は、胆のうに結石があるといわれています。
人間ドックや健康診断の腹部エコー検査で「胆のう結石があります」と指摘され、驚いた経験のある方も多いでしょう。
胆のう結石は、肥満や生活習慣とも深く関係しています。近年、日本でも肥満の方が増えるにつれて、胆のう結石の患者さんも増加傾向にあります。
当クリニックにも、
「胆石があるといわれたけれど、手術をした方がいいのでしょうか?」
というご相談がよく寄せられます。
胆のう結石は、症状がない場合にはすぐに手術が必要とは限りません。
一方で、放置しておくと痛みや炎症、さらには胆のう炎や胆管炎、膵炎などを引き起こすこともあります。
本コラムでは、「胆のう結石はいつ手術すべきか?」という疑問について、わかりやすくQ&A形式で解説していきます。
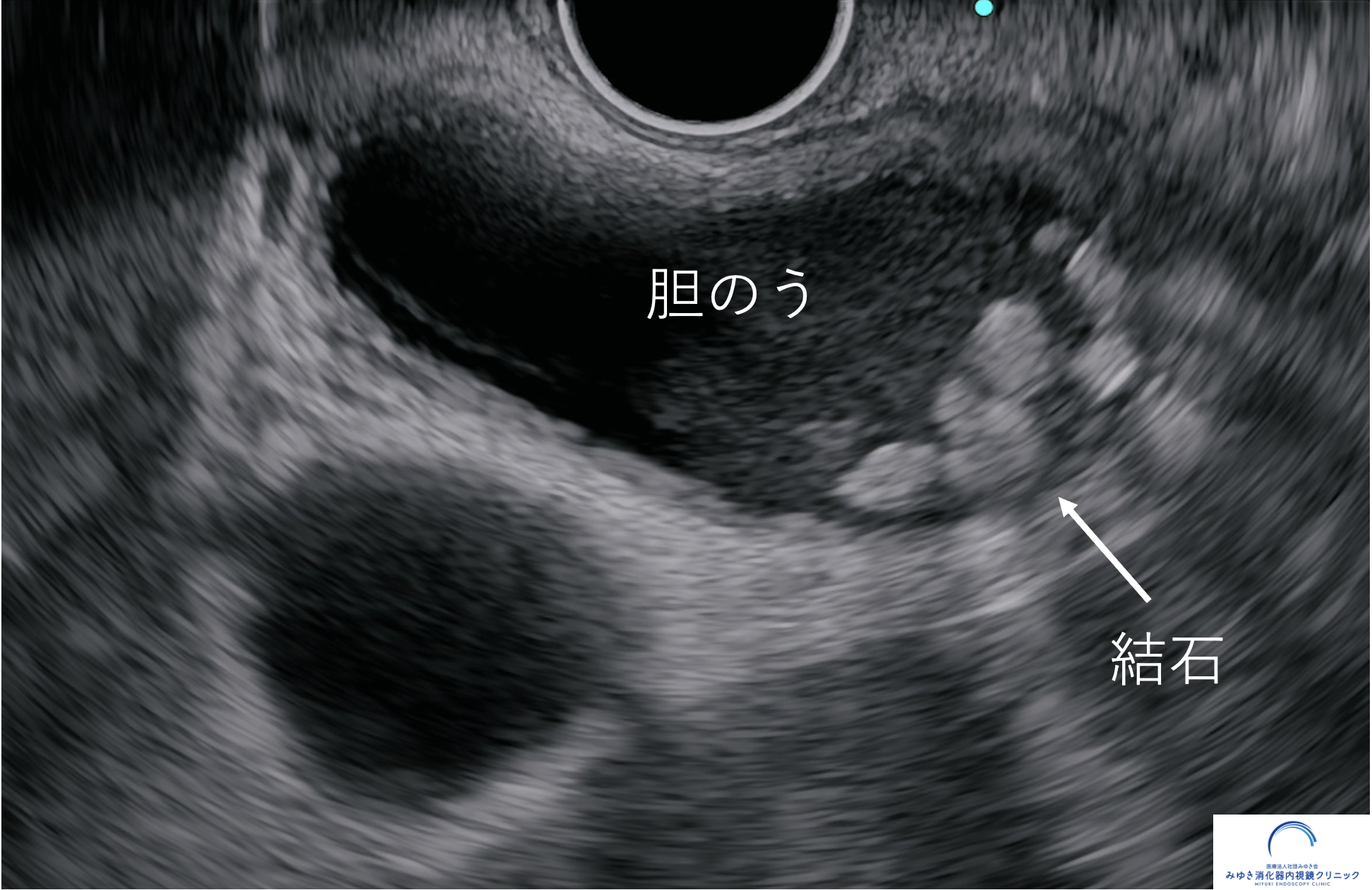
胆のう結石(超音波内視鏡検査)

Q1: 症状がなくても胆のう結石の手術を受けるべきですか?
胆のう結石(たんのうけっせき)が見つかっても、多くの方は症状がありません。
実際、無症状の胆のう結石のうち、1年間に症状が出るのはおよそ2〜4%程度とされています。
さらに、約3分の2の方は一生を通じて症状が出ないといわれています。
そのため、症状のない胆のう結石に対しては、予防的に手術を行う必要はないと考えられています。
ただし、例外もあります
以下のように、胆のうがんのリスクが高い場合には、症状がなくても手術(胆のう摘出術)を検討することがあります。
・胆のう結石の大きさが 3cm以上
・10mm以上の胆のうポリープがある
・胆のうの壁が厚くなっている(慢性胆のう炎など)
・胆のうの中が結石でいっぱいになっている
これらの状態では、長期的に胆のうがんが発生するリスクが高いことがわかっています。
そのため、総合的に判断して、将来的なリスクを避ける目的で手術を検討する場合があります。
Q2: どんな症状が出れば手術を考えるべきですか?
典型的な症状は、右の肋骨の下の痛みやみぞおちの痛みです。
とくに脂っこいものを食べたあとに強い痛みが出ることが多く、「胆石発作」と呼ばれます。

次のような症状がある場合は、早めに消化器内科を受診してください。
・繰り返す右上腹部の痛みや背中の痛み
・発熱や吐き気を伴う(胆のう炎の可能性)
・尿が濃い、皮膚や白目が黄色くなる(黄疸:胆管が詰まっている可能性)
このような症状では、急性胆のう炎や胆管炎、膵炎を起こしている可能性があり、緊急入院や手術が必要になることもあります。
Q3: 胆のう結石があると胆のうがんになりやすいと聞きましたが・・・
たしかに、胆のうがんの患者さんの多くは胆のう結石を合併していることが知られています。
しかし、「胆のう結石がある人が胆のうがんになりやすいのか?」という点については、はっきりとした証拠(エビデンス)はまだありません。
つまり、胆のう結石と胆のうがんの間には一定の関連があるものの、胆石が直接がんの原因になるとまでは言い切れないのが現時点での医学的な見解です。
そのため、胆のうがんの予防を目的として、無症状の胆のう結石に手術を行うことは一般的には推奨されていません。
ただし、胆のうがんのリスクが高いと判断された場合には、無症状でも手術を行うことがあります(→Q1参照)。
Q4: 胆のうを残して石だけ取り出すことはできませんか?
「できるだけ臓器を残したい」「胆のうを取らずに石だけ取れないの?」
このようなご質問をいただくことがあります。お気持ちはとてもよくわかります。
しかし、一般的には胆のうを開いて石だけを取り出す手術は行われていません。
その理由は大きく2つあります。
① 胆石ができる“胆のうそのもの”に原因があるため
胆石ができるということは、胆のうの働きや胆汁の流れに問題があるということです。
そのため、石だけを取り除いても時間がたつと再び胆石ができる可能性が高く、根本的な解決にはなりません。
つまり、「原因である胆のうそのものを取り除くこと」が大切なのです。
② 現在の腹腔鏡手術は安全で体への負担が少ないため
現在では、腹腔鏡下胆のう摘出術が標準的な治療法です。小さな傷で行える手術で、体への負担が少なく、回復も早いのが特徴です。
技術的にも非常に安定しており、胆のうを残して石だけ取るよりも、安全かつ確実に治療できると考えられています。
Q5: 胆のうをとっても生活に支障はありませんか?
胆のうは、肝臓で作られた「胆汁」という消化液を一時的にためて濃くし、食事のタイミングで腸へ送り出す役割をしています。
そのため、胆のうを摘出すると、この“ためて出す”機能は失われます。
とはいえ、胆のうに結石ができている場合、その胆のうはすでに正常に働いていないことが多いため、手術で胆のうを取っても日常生活への影響はほとんどありません。
胆のうを取った後の体の変化について
胆のうがなくなると、胆汁は肝臓から直接腸へと流れ続けるようになります。
その結果、ごく一部の方で以下のような症状が起こることがあります。
・食後の軽い腹痛や張り感
・下痢や軟便(特に脂っこい食事のあと)
これらは「胆のう摘出後症候群」と呼ばれるもので、多くの場合は時間とともに自然に改善します。
必要に応じて、食事内容の調整や整腸剤などの薬でコントロールが可能です。
参考文献
日本消化器病学会(編):胆石症診療ガイドライン2021, 改訂版3版,
南江堂, 2021.
野口 大介、他. 臨床外科 2025;80:1177-83.